为您节约时间,可输入您的号码点击回电,直接电话咨询!
前言:2013年8月初,魏某在单位体检发现是肝癌,弥漫型,最大肿块3×4cm,门静脉有瘤栓,肝功能正常。于8月中旬和9月初各介入治疗一次,9月6日肝内肿瘤最大占位达9.6×7.3cm,10月中下旬出现腹胀,腹水。曾到多家医院就诊,服用多种药物,效果都不佳。
患者:魏某,男,28岁,广州人,患肝硬化5年,今年8月初影像学诊为肝癌,弥漫型。
症状:消瘦,乏力,腹胀,肝区疼痛,黄疸等。
诊断:在朋友的推荐下,2013年11月来到广州中医药大学金沙洲医院肿瘤综合诊疗中心接受WB-1无创全身热疗系统治疗,通过专家诊断其为:晚期肝癌,弥漫型,肝硬化腹水。

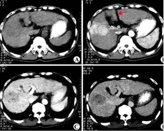
CT检查 原发性肝癌
治疗:针对他的病情,采用“WB-1无创全身热疗系统治疗”, 通过WB-1无创全身热疗系统使患者的体温升至39.5℃~41.5℃,人为的给人体创造“发烧”的环境。而在此温度环境下,怕“热”的癌细胞就会被高热直接杀伤凋亡。因手术等常规手段清除不尽,或者现有技术手段根本无法发现的转移、扩散的癌细胞,尽管漏网之后狡猾的潜藏起来,却依然免不了被WB-1无创全身热疗系统追踪杀灭的命运,此外,WB-1无创全身热疗系统还能激活处于麻痹状态的免疫系统,产生抗肿瘤免疫,抑制和杀灭转移灶或亚临床病灶,从而实现从根源上治疗肝癌的目的。
效果:经过两个疗程结束后复查,CT示瘤体明显缩小,腹水大量减少,但并未消失。现疼痛症状有所缓解,食欲增强,体重略有增加,精神状况也有所好转。
广州中医药大学金沙洲医院肿瘤综合诊疗中心介绍此患者是肝癌晚期成功治疗病例之一,并强调晚期肝癌患者为提高生活质量,延长生存期,要保持积极乐观的心态,选择正确的疗法,积极配合医生的治疗,养成良好的生活习惯,定期到医院检查。
点击快速进入预约挂号系统
Nelo351
我今年6月份乳腺癌复发,我的一个癌症朋友介绍我来广州中医药大学金沙洲医院做全身热疗,他也是前段时间在这边做热疗跟粒子植入。我做了5个疗程的热疗后,复查发现病情得到了控制,在做热疗的时候人也没其他不适。
健康平安251
我妈妈一段时间身体各种不舒服,到医院检查发现是肺癌,打听到邓医生治癌症很厉害,15年6月份就到金沙洲医院住院,做了热疗和化疗,幸好也没有出现别人说的化疗副作用,觉得很奇怪的问了邓医生,说是因为用了小剂量的化疗,这才没有出现化疗的副作用。
淡然153
天有不测风云,我在12年单位体检胆管癌,在当地医院手术后无接受其他治疗,但在两年后复查后发现转移,马上转至广州中医药大学金沙洲医院接受更好的治疗,做了4次全身热疗和小剂量的化疗,现在只要定期复查就好了。
发布成功!评论待院方审核后才能生效!

(本网站已加密,绝对保障个人隐私)