为您节约时间,可输入您的号码点击回电,直接电话咨询!

【患者】:宋和星,男,56岁,广东省江门。
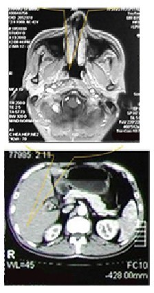
【治疗史】:2013年6月在江门某医院确诊为鼻咽癌,化疗四个疗程后身体变得极度虚弱,口腔严重溃疡不能进食,症状没有明显的好转。2013年9月12日经邻居癌症康复患者介绍来到广州中医药大学金沙洲医院肿瘤诊疗中心,预约中心专家。
【来诊时症状】:鼻腔出血、头晕、头痛、耳鸣、消瘦、乏力。
【康复路程】:鼻咽镜取病理检测及MRI核磁共振,诊断为鼻咽癌。2013年9月17日,进行WB-1无创全身热疗系统结合放疗。10月20日入院复查CT检查发现鼻咽部肿块缩小,3个月后再次复查,CT显示肿块完全消失,患者康复。至今仍坚持每年按时入院复查,健康状况良好。

【专家建议】因鼻咽部解剖位置特殊,手术操作困难,且鼻咽癌80%以上为低分化鳞癌,对放射治疗较敏感,所以,放射治疗是鼻咽癌的首选治疗方案。鼻咽癌放射治疗的治愈率为40%~70%,但是由于放疗的副作用非常大,所以结合WB-1无创全身热疗系统,既可以降低放疗的副作用,又可以增强患者自身的免疫系统。
【推荐医院】广州中医药大学金沙洲医院肿瘤诊疗中心,在多位专家会诊下,引进国内外最先进的WB-1无创全身热疗系统设备,大力发展肿瘤无创治疗模式,目前,中心已经成功治愈鼻咽癌、脑胶质瘤、脑膜瘤、肺癌、肝癌等头部、体部各种良、恶性肿瘤3000余例,成为省内治疗颅内肿瘤最多的单位。
点击快速进入预约挂号系统
Nelo351
我今年6月份乳腺癌复发,我的一个癌症朋友介绍我来广州中医药大学金沙洲医院做全身热疗,他也是前段时间在这边做热疗跟粒子植入。我做了5个疗程的热疗后,复查发现病情得到了控制,在做热疗的时候人也没其他不适。
健康平安251
我妈妈一段时间身体各种不舒服,到医院检查发现是肺癌,打听到邓医生治癌症很厉害,15年6月份就到金沙洲医院住院,做了热疗和化疗,幸好也没有出现别人说的化疗副作用,觉得很奇怪的问了邓医生,说是因为用了小剂量的化疗,这才没有出现化疗的副作用。
淡然153
天有不测风云,我在12年单位体检胆管癌,在当地医院手术后无接受其他治疗,但在两年后复查后发现转移,马上转至广州中医药大学金沙洲医院接受更好的治疗,做了4次全身热疗和小剂量的化疗,现在只要定期复查就好了。
发布成功!评论待院方审核后才能生效!

(本网站已加密,绝对保障个人隐私)