为您节约时间,可输入您的号码点击回电,直接电话咨询!
对于35岁的李宗君(化名)来说,他一个普通的农民,十年前李先生结婚时家里条件并不好,婚后李先生靠种玉米卖维持一家人的生计,几年过去了,李先生每年十多亩的玉米总是能给他带来不错的收益,十余年来李先生也存了三四万元钱,看着活蹦乱跳的儿子,喊着爸爸、妈妈。然而2013年5月李先生开始感觉头晕、头痛,开始以为是劳累过度导致的,可是后来,头晕和头痛发作的次数越来越多,再后来,还感觉恶心、呕吐,视力下降,偶尔还有眼前发黑的表现。李先生意识到问题的严重性,于是到了医院进行检查。结果原本美好的一切都被那张小小的医院的体检单打碎——脑癌!
“如果没有患病,我们的日子一定是越来越好!得病后情况就完全变了!”李先生说着。一脸无奈的表情夹杂着几丝忧愁。的确,因为治病,李先生的生活又回到原点。

经过当地医生建议,李先生于确诊后次月进行手术,术后配合放疗治疗,但放疗过程中患者体质明显下降,出现食欲下降、恶心、呕吐、心慌、心悸、胸闷等症状,精神状态越来越不好。因而放弃了放疗治疗。
经过手术后配合放疗的李先生没有再敢手术了,当然,此时的他也承担不起高额的手术费用了。之后他就一直吃着抗肿瘤的化疗药物维持。1年的功夫,为了治病,李先生几乎花掉了家里所有的积蓄。面对这一切,李先生有些心痛,他多想快点治好自己的病,可是,为屡次发作的结节已花尽积蓄的他更多的只能承受。此时迫切希望治愈疾病的思想和难以承受的高额治疗费用在李先生心理矛盾的交杂着。
随后,李先生联系到了在广州工作的一个老同学,同学告诉他说广州中医药大学金沙洲医院肿瘤诊疗中心是专业治疗肿瘤疾病的医院,最主要的是现在广州中医药大学金沙洲医院肿瘤诊疗中心正在进行贫困肿瘤患者公益援助活动,凡是持有贫困证明或者低保证明的患者都能享受到1000—3000元不同比例的补助,这给为治疗费用发愁的李先生带来了一丝希望。
李先生在妻子的陪同下,带着当地开具的贫困证明,来到了广州中医药大学金沙洲医院肿瘤诊疗中心并申请了贫困援助,广州中医药大学金沙洲医院肿瘤诊疗中心的负责人经过审核给予了他2500元的援助基金。之后由广州中医药大学金沙洲医院国际肿瘤诊疗中心的中心专家对他进行了治疗。专家在对他的病情做了详细的了解和全面检查后,根据他的个人状况,运用WB-1无创全身热疗系统联合DC-CIK生物细胞免疫疗法为核心的全套肿瘤治疗方法对他进行了综合治疗。
在治疗中,李先生还了解到广州中医药大学金沙洲医院肿瘤诊疗中心是广州市医保定点医院,不仅广州的患者能享受报销优惠,外地的患者住院也能享受新型农村合作医疗的报销,这又给李先生减轻了不少负担。
病历摘要:
患者:李宗君(化名)男性,35岁
李先生于2013年5月开始出现间断性头痛、头晕症状1个多月,没当回事,随后加重伴右侧肢体活动不灵,9月入院。
现病史:患者1个多月无明显诱因出现头晕,头痛,呕吐,未引起注意,在当地医院给予对症治疗,头痛呕吐缓解。此后头晕症状间断出现,而且出现呕吐,在当地医院门诊检查,发现右侧顶叶占位,建议住院手术治疗,术后做了放射治疗。三周后复查CT,肿瘤未缩小。1个多月前,患者上述症状加重,伴右侧肢体活动不灵,记忆力下降,来我院寻求治疗帮助。
既往史:无特殊
专科检查:神清语利,双侧瞳孔等大等圆,对光反射灵敏,视力粗测正常,无视野缺损,检查双侧视乳头轻度水肿。额纹对称,鼻唇沟等深,伸舌居中,口角无偏斜。颈软,左侧上肢肌力0级,左侧下肢肌力2级,巴氏征阳性;右肌力肌张力正常,右跟腱及膝腱反射正常,右侧病理反射未引出。
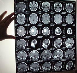
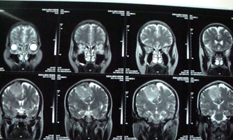
MRI:右顶窦镰旁占位、考虑右顶窦镰旁脑癌(附件如下:)。


诊断:右侧顶窦镰旁脑癌
2013年5月25日行手术切除,术后放疗后,但放疗过程中患者体质虚弱,承受不住放疗,因而放弃。
医生证见:神疲乏力,面色白光白,头晕头重,眩晕耳鸣,四肢无力,恶心呕吐等,舌质淡苔白,脉细弱。
广州中医药大学金沙洲医院肿瘤诊疗中心的WB-1无创全身热疗系统联合DC-CIK生物细胞免疫疗法的康复之路
WB-1无创全身热疗系统后肿瘤细胞变性坏死的分解产物可作为一种抗原,刺激机体免疫系统,产生抗肿瘤免疫反应,而且在全身WB-1无创全身热疗系统作用下,外周血单核细胞分泌粒细胞集落刺激因子能直接刺激骨髓造血细胞的分化成熟,因而对放化疗引起的骨髓抑制有保护作用。生物细胞免疫治疗,是通过在实验室中应用高端生物技术对杀癌免疫细胞进行大量的活化培养,使其具有高效识别和杀灭癌细胞的能力,再回输患者体内,以达到治疗肿瘤的目的。
WB-1无创全身热疗系统与生物治疗“强强联合”,可全面清除体内癌细胞,防止转移,提高生物治疗效果三倍以上,加速人体抗肿瘤免疫系统的重建和恢复,改善生活质量,延长存活时间。
WB-1无创全身热疗系统联合生物治疗是广州中医药大学金沙洲医院肿瘤诊疗中心研发的具有划时代意义的肿瘤治疗体系,该治疗体系以WB-1无创全身热疗系统为核心,根据患者的不同病情症状、不同体质、不同治疗阶段的特征,采取各种针对性的治疗,促使瘤体萎缩消退,增强患者体质。同时根据传统的手术、放/化疗、各种介入等治疗中出现的毒副作用和后遗症,进行系统性的调理,有效的避免了单一手术/放/化疗的局限性,取得了突破性的疗效。
患者感言:当时听到患脑癌的消息,感觉天像塌下来了一样,但是爸妈和老婆不断的鼓励我,没有放弃我,看着家人每天都在为找治疗办法着急,到了我面前马上又使劲的挤着笑,我明白他们不想让我着急上火,我的心都酸了,我告诉自己必须要鼓起勇气,我要活下去,还有这么多爱我的人,为我付出的人。于是,我也托朋友帮忙打听、想办法,后来听说广州中医药大学金沙洲医院肿瘤诊疗中心有治疗肿瘤的新方法,也是抱着试试看的态度,没想到几个疗程过后,症状有了明显的缓解。到现在也没有复发和转移,我的生活也恢复了正常,也回到了工作岗位。我非常感谢中心专家和所有的医护人员,谢谢你们对我的精心照顾。
经过广州中医药大学金沙洲医院肿瘤诊疗中心的援助,再加上新型农村合作医疗的报销,李先生算了算,自己整个治疗过程并没有花多少钱。抱着万分感激的心,治好病的李先生心里激动地久久难以平静,激动之余他似乎看到了今后生活的一片光明。
点击快速进入预约挂号系统
Nelo351
我今年6月份乳腺癌复发,我的一个癌症朋友介绍我来广州中医药大学金沙洲医院做全身热疗,他也是前段时间在这边做热疗跟粒子植入。我做了5个疗程的热疗后,复查发现病情得到了控制,在做热疗的时候人也没其他不适。
健康平安251
我妈妈一段时间身体各种不舒服,到医院检查发现是肺癌,打听到邓医生治癌症很厉害,15年6月份就到金沙洲医院住院,做了热疗和化疗,幸好也没有出现别人说的化疗副作用,觉得很奇怪的问了邓医生,说是因为用了小剂量的化疗,这才没有出现化疗的副作用。
淡然153
天有不测风云,我在12年单位体检胆管癌,在当地医院手术后无接受其他治疗,但在两年后复查后发现转移,马上转至广州中医药大学金沙洲医院接受更好的治疗,做了4次全身热疗和小剂量的化疗,现在只要定期复查就好了。
发布成功!评论待院方审核后才能生效!

(本网站已加密,绝对保障个人隐私)