为您节约时间,可输入您的号码点击回电,直接电话咨询!
广州中医药大学金沙洲医院国际肿瘤热疗中心一则真实的抗癌故事:
【入院记录】姓名:李先生 性别:男 年龄:61岁 籍贯:广东肇庆
患者李先生因在当地治疗肺癌,放疗后出现极大副作用后转到我院国际肿瘤中心。查体:体温36.2℃,脉搏:84次/分 呼吸:22次/分。神志清楚,精神差。呼吸稍急促。全身皮肤及粘膜未见黄染及出血点。头颅五官无畸形。鼻通气畅。口周无发绀,咽部充血,双侧扁桃体无肿大,双瞳孔等大等圆,直径3.0mm,光反映灵敏,颈软,无抵抗。胸廓两侧对称,双肺呼吸音粗,闻及痰鸣、湿鸣。心率脉搏次/分,律齐,各瓣膜听诊区未闻及杂音。腹平软,无压痛,肝脾无肿大,肾区无叩痛,肠鸣音正常。
入院诊断:
1.肺癌
2.心功能不全
患者李先生口述:
当我们当地人民医院的主任医师告诉我要有心里准备,我就知道不妙了。肺癌晚期。一时之间家里全乱了套了,孩子们伤心、难过自是不必说了,老伴更是犹如天塌下来一般,一口气没上来晕了过去。但不管怎么样,还得面对现实。由于是晚期,而且已经广泛转移了,手术是不能做了,只能安全无创地治疗,延长生命了。
于是痛苦的放疗开始了,强烈的副作用让我在60多年的岁月里头一次体会到了什么叫生不如死。“开始,疼得难以入睡时我就想着那些英雄人物,邱少云、江姐,想想他们真就忍住点痛。可后来,想谁也没用,就是个痛啊!实在是挺不住了。”
打杜冷丁止痛虽然管用,但是很快,李先生发生了重度杜冷丁依赖症。戒除毒瘾的日子,李先生现在想起来还不寒而栗,“那不是人遭的罪呀!就好像有成千上万只蚂蚁在啃噬着你的心啊!”他寻找一切机会和方法自杀,最后家人连腰带都不让他系。他就用头撞墙,护士看着,他咬舌自杀,弄得满嘴都是血,也没死成。经过18天,虽然战胜了毒瘾。但是,病还是没法治。
“能不能挺几个月还不好说,撑到过年你们想都不要想了。”带着医生的“口头死刑判决书”,李先生出了院。
激起斗志,或许还有生机
他我们先后去了几家医院,医生当着李先生的面什么都没说,但是他明白,这无非是不想刺激自己。果然,医生找老伴和大女儿谈过话后,她们都默默地出来了,用轮椅将他推了回去。一次又一次的奔波,一次又一次地失望。
有一天病友告诉我们说:“这癌症就像戴维斯,你怕,肯定没好,跟他斗,还有胜的希望。在跟他们交流的时候有幸得知广州中医药大学金沙洲医院国际肿瘤热疗中心有一种热疗
技术,治疗的效果挺好的。
老伴听了,赶紧叫女儿去打听。他们了解到广州中医药大学金沙洲医院国际肿瘤热疗中心治肿瘤最好的大夫是胡群峰教授,国内外都享有盛誉,但基本不能到院挂号,那样很容易白跑一趟,一定要提前在官网挂号。查看胡群峰教授简历
遇到了救命恩人胡群峰
在广州中医药大学金沙洲医院国际肿瘤热疗中心官网挂到胡群峰教授一个十天后的号。
当见到胡主任的时候,我其实有点挺累的,胡教授对我很暖心,嘘寒问暖,为我详细看检查报告,并且激励我要积极抗癌,不要放弃。
胡教授告诉我,虽然是晚期肺癌,但是从我的舌象和脉象看,后天脾胃之气尚存,也就是还能吃饭,再加上精神没有垮,有了这两个条件,就还有希望。而从癌症的治疗方法上说,中早期癌症,如果病人身体素质比较好,应以手术为主,安全副作用少的技术为辅。而晚期癌症患者,身体一般都比较虚弱,而且肿瘤大多已经转移了,失去了手术的时机,身体也难以承受放化疗,这时则应以安全无创热疗为主,其他为辅。
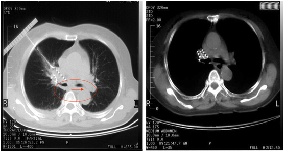
胡教授建议我采用粒子植入联合全身热疗,我对胡教授的治疗方法深信不疑,并且积极配合胡教授的治疗。在半年的治疗过程中,身体慢慢的好起来,感觉自己的精神也好很多。10个月的复查CT看到肿瘤基本没了,只有看到当时做的几个粒子痕迹。
胡主任曾经说到其实人人身上都有抗癌的潜能,如果充满希望、精神不垮,那么就能调动这些抗癌力量对癌细胞发起攻击。再配合正确的治疗,与癌症的这场硬仗还是有胜算的可能的,绝对不能轻易放弃!

患者李先生治疗前后
点击快速进入预约挂号系统
Nelo351
我今年6月份乳腺癌复发,我的一个癌症朋友介绍我来广州中医药大学金沙洲医院做全身热疗,他也是前段时间在这边做热疗跟粒子植入。我做了5个疗程的热疗后,复查发现病情得到了控制,在做热疗的时候人也没其他不适。
健康平安251
我妈妈一段时间身体各种不舒服,到医院检查发现是肺癌,打听到邓医生治癌症很厉害,15年6月份就到金沙洲医院住院,做了热疗和化疗,幸好也没有出现别人说的化疗副作用,觉得很奇怪的问了邓医生,说是因为用了小剂量的化疗,这才没有出现化疗的副作用。
淡然153
天有不测风云,我在12年单位体检胆管癌,在当地医院手术后无接受其他治疗,但在两年后复查后发现转移,马上转至广州中医药大学金沙洲医院接受更好的治疗,做了4次全身热疗和小剂量的化疗,现在只要定期复查就好了。
发布成功!评论待院方审核后才能生效!

(本网站已加密,绝对保障个人隐私)