-
胶质母细胞瘤属四级,死亡率高、生存期仅3个月
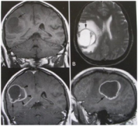
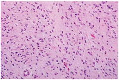
胶质母细胞瘤是星形细胞肿瘤中恶性程度最高的脑胶质瘤,属4级(Ⅳ级)的脑胶质瘤。 胶质母细胞瘤多数原发于脑实质内,亦可呈继发性,由间变性星形细胞瘤进一步恶变转型而成,也可 [阅读全文]
-
星形细胞瘤:常规治疗复发时间为2年
星形细胞瘤是指以星形胶质细胞所形成的脑肿瘤,是脑胶质瘤的一种类型,属于恶性肿瘤。 据文献报道,星形细胞肿瘤占颅内肿瘤的13%~26%,占胶质瘤21.2%~51.6%,男性多于女性。星形 [阅读全文]
-
脑胶质瘤分4级,5年存活率低过10%
目前虽然有很多关于胶质瘤的分级系统,但是最为常用的还是世界卫生组织(WHO)制定的分级系统。 根据这一分级系统,脑胶质瘤分为1-4级,其中1、2级为低级别胶质瘤,3、4级的恶性程度 [阅读全文]
-
放化疗治脑胶质瘤,5年存活率低于10%
导读: 脑胶质瘤无包膜,与周围正常脑组织无界限,呈浸润性生长。胶质瘤细胞具有增殖与迁移特性,可沿着胼胝体和前交叉的髓鞘结构从一侧半球扩散到对侧半球,手术不易全切,采 [阅读全文]
-
-
造成脑胶质瘤的原因有哪些
造成脑胶质瘤的原因是什么?脑胶质瘤是近年来肿瘤患者中死亡人数最多的一种,脑胶质瘤作为一种常见的疾病时刻威胁着人们的生命健康。做好充分的预防远比等患病后再治疗要有效的 [阅读全文]
-
盘点脑胶质瘤的常见症状
患有脑胶质瘤是最为让人困扰的了,大多数人除了不知道怎么进行治疗之外,也不了解脑胶质瘤常见症状都有什么,这就对有效的控制此病起到了妨碍作用,下面就请专家对脑胶质瘤常 [阅读全文]
-
脑胶质瘤的治疗方法有哪些?最有效的是哪种?
脑胶质瘤的治疗方法介绍。脑胶质瘤除了一级相对容易治疗外,二级、三级、四级脑胶质瘤治疗起来非常困难,这时候选择合适的治疗方法就更显得关键了。现在脑胶质瘤的治疗方法主 [阅读全文]

偶然的机会我了...
13年胃癌伴肝癌...
患者近期大便带...
英国海外领地患...
患者在意大利胃...
15年前发现左侧...

