-
一帆风顺的人生,竟被癌症打破了
人物档案 姓名 :韩小梅 年龄 :69岁 病种 : 卵巢腺癌(浆液性腺癌) 职业 :湖北某市国企退休干部 1肚子胀竟然都是水 7韩小梅:9月9号,我的肚子很胀,在家吃了保济丸、保和丸和 [阅读全文]
-
生命本是倒数过 却在国际肿瘤中心得到延续
人物档案 姓名 :杨思忠 年龄 :47岁 病种 : 肺癌 人生感悟 :患有不死癌症,我很不幸。好在我从未有过悲观,做人不管什么时候,发生什么事情,都不能失去希望。 来自湖南47岁的 [阅读全文]
-
谢谢您们 我老伴的” 怪物” 肿瘤终于消失了
人物档案 姓名 :李秀娴 年龄 :72岁 病种 : 口腔癌 病历描述者 :李秀娴老伴 生命格言 :战胜不了自己就无法战胜病魔 很多初次认识的人都说我老伴性格好,开朗乐观,殊不知,在 [阅读全文]
-
一场阑尾炎闹剧竟是结肠癌作祟
人物档案 姓名 :江小凤 年龄 :51岁 病种 : 结肠癌 治疗方法 :热疗联合碘125粒子植入术 [阅读全文]
-
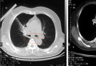
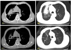
瘤体缩小,呼吸顺畅获新生 —来自茂名肺癌患者的一封感谢信
胡主任,有您的信件。护士长喊了刚想走进医生办公室的胡群峰主任。 胡主任打开信件看了一下,面露喜色,护士长说又是感谢信呀?这半个月你都收到十几封了吧。胡主任笑笑说:这 [阅读全文]
-
胡主任用全身热疗帮我死里逃生
广州中医药大学金沙洲医院国际肿瘤热疗中心一则真实的抗癌故事: 【入院记录】姓名:李先生 性别:男 年龄:61岁籍贯:广东肇庆 患者李先生因在当地治疗肺癌,放疗后出现极大副 [阅读全文]
-
给胡主任医护团队的一封信
国际肿瘤热疗中心胡主任、各位医生护士人员: 您们好,我是来自广西南宁遭受肿瘤痛苦折磨的杨XX,您们每天面对的患者那么多,可能你们会忘记我了。但我也要表达对胡主任的谢意 [阅读全文]
-
38岁的晴天霹雳:胚胎型横纹肌肉瘤
我今年38岁,2016年前的人生还算顺利,娶妻生子,父母健在,一名事业单位员工,俗称铁饭碗。本以为就这么稳稳当当的过一辈子。但一个晴天霹雳,胚胎型横纹肌肉瘤让我不知所措。 [阅读全文]
-
手术是要我命还是救我的命?
2013年,在广州中山大学附属医院的办公室,47岁的赵女士在主任医生的办公室里,眼睛一直盯着地下,不知道肉瘤又复发该怎么办,主任医生对她说:现在只有这个方案了,继续手术才 [阅读全文]
-
他们不仅救了我妈妈的命,还救了我全家
【患者病情介绍】 黄凤玲,50岁,患者因确诊右中上肺中央型肺癌2月余于2015年7月26号入院,曾做过肺部穿刺活检报告(1708791)示:(右肺)肺浸润性腺癌,同时还有骨多发转移瘤,右 [阅读全文]

偶然的机会我了...
13年胃癌伴肝癌...
患者近期大便带...
英国海外领地患...
患者在意大利胃...
15年前发现左侧...

